Innovation aus Schweden unterstützt
die Biopsie am CT
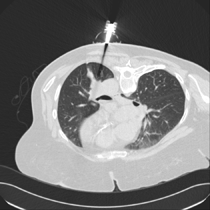
Mit einer scheinbar simplen Innovation der schwedischen Firma AprioMed hat der Arzt nun die Möglichkeit, bei einer Biopsie am CT schon vor dem Einstich den Nadelpfad zu erkennen und gegebenenfalls zu korrigieren. Bisherige Lösungen haben unter anderem auf Laserunterstützung gesetzt. AprioMed will diese kostenintensiven Produkte durch die Eigenentwicklung SeeStar® ersetzen.
Die schwedische Firma AprioMed AB aus Uppsala produziert und entwickelt Zubehör für Radiologen. Für Biopsien am CT hat man die Einführhilfe SeeStar® entwickelt, damit der Arzt eine schnelle und günstige Möglichkeit hat, vor der Biopsie den Einstichwinkel zu bestimmen und während der Biopsie einen gleichbleibenden Zugang zu behalten.
AprioMed ist im Februar 2009 aus der Firma Radi Medical Devices AB hervorgegangen und entwickelt Zubehör für den radiologischen Bereich. Für weitere Kontaktinformationen der Firma AprioMed AB nutzen Sie unser Branchenbuch der Medizintechnik.
Im Gespräch stellt H. Spengler das Produkt vor, wie der Vertrieb in Deutschland organisiert wird und zu welchem Preis es erhältlich ist.







